IMG-LOGO
image

08 июн. 2025

Просмотров: 100

Как победить рак: отключение белка-защитника опухолевых клеток

Что, если я скажу вам, что у некоторых раковых клеток есть личный телохранитель, который защищает их от самоуничтожения? Речь о церамидах — особых соединениях, которые управляют многими клеточными процессами, включая запрограммированную гибель. Интересный парадокс: многие противоопухолевые препараты как раз заставляют клетки производить больше церамидов, чтобы те погибли. Но если производство церамидов блокируется — рак получает зеленый свет для роста. Ученые решили выяснить, кто же стоит за этим саботажем, и начали с поиска белков, которые постоянно «общаются» с церамидными фабриками.

Ключевые производители церамидов — ферменты под названием церамидсинтазы. Их шесть типов. В ходе расследования внимание ученых привлекла первая из них — CerS1. Выяснилось, что у нее есть весьма навязчивый «компаньон» — белок теплового шока Hsp27. Вообще, такие белки-шапероны обычно помогают другим белкам правильно складываться и работать. Но, как это часто бывает, слишком большое внимание вредит. Избыток Hsp27 буквально душит CerS1, мешая ей выполнять свою работу.

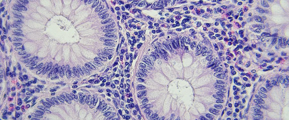
Картина в раковых клетках толстой кишки была красноречивой: активность Hsp27 — зашкаливала, а активность CerS1 — катастрофически падала. Одно явно вытесняло другое. Авторы исследования дали яркую аналогию: «Hsp27 — это плохой парень, который держит хорошего парня, CerS1, под замком». Звучит как сюжет для научного триллера, не находите?

И ученые раскрыли этот коварный механизм. Оказалось, что при блокировке Hsp27, CerS1 снова активизируется. А это, в свою очередь, бьет по самой уязвимой точке раковой клетки — по ее энергетическим станциям, митохондриям. Опухолевые клетки — настоящие энергетические вампиры, им нужно много «топлива» для бесконечного деления. Лишив их исправных митохондрий, можно лишить их и жизни.

По сути, заблокировав белок-телохранитель Hsp27, исследователи отключили у рака «электричество». Это открывает потрясающие перспективы: Hsp27 может стать новой мишенью для терапии рака толстой кишки. Но ученые на этом не останавливаются — они уже смотрят шире, изучая потенциал этого подхода для борьбы с опухолями легких, поджелудочной железы и простаты. Похоже, у «плохого парня» появились серьезные проблемы.