IMG-LOGO
image

07 июн. 2025

Просмотров: 109

НАСГ: прорыв в лечении жировой болезни печени и новое лекарство

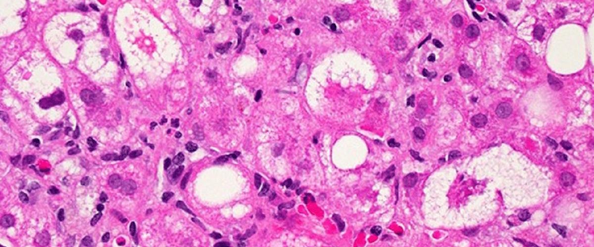
Вот вам цифра, которая заставит задуматься: почти каждый третий взрослый человек на планете живет с первой стадией неалкогольной жировой болезни печени. Это когда в клетках органа просто накапливается лишний жир. И многие об этом даже не подозревают. Но сегодня мы поговорим о том, что происходит, если процесс заходит дальше. О второй, куда более грозной стадии — неалкогольном стеатогепатите (НАСГ). Здесь уже не просто «жирненько», а начинается настоящее воспаление и рубцевание тканей. И если на раннем этапе еще можно помочь диетой и спортом, то на стадии НАСГ изменения часто становятся необратимыми. Печально, правда?

Долгое время причина этого «тихого» перехода от ожирения к воспалению оставалась загадкой. Но группа исследователей из Мичиганского университета, кажется, нашла ключ. Им оказалось... нарушение метаболизма самой обычной аминокислоты — глицина. Как сообщает EurekAlert, ученые не только раскрыли этот механизм, но и на его основе создали экспериментальное лекарство под кодовым названием DT-109. По сути, это трипептид, «собранный» из глицина.

А дальше — почти фантастика. На моделях мышей и приматов DT-109 показал поразительный эффект. Он не просто остановил болезнь, а буквально повернул ее вспять: заставил печень расщеплять накопленный жир, предотвратил образование рубцов и стимулировал выработку антиоксидантов. И это еще не все! Препарат сумел «приглушить» выработку литохолевой кислоты — вещества, которое считается одним из главных виновников развития жировой болезни. Вы только вдумайтесь: один агент действует сразу на несколько фронтов!

«Этот прорыв в доклинических моделях позволяет рассматривать DT-109 в качестве кандидата для будущих клинических исследований», — с оптимизмом заявил соавтор работы Цзифэн Чжан. И правда, такой многофункциональный подход может стать настоящим лучом надежды для миллионов, чья печень молча страдает от НАСГ. Вопрос лишь в том, как быстро эта надежда дойдет до реальных пациентов.

Кстати, важность этой находки трудно переоценить, особенно учитывая последние новости. Совсем недавно другие ученые обнаружили тревожную связь: оказывается, жировая болезнь печени — это не только проблема самого органа. Она может открывать путь к деменции, провоцируя нарушения в работе мозга. Так что здоровье нашей печени куда теснее связано с ясностью ума, чем мы могли предполагать.