IMG-LOGO
image

04 апр. 2024

Просмотров: 91

11.7 Тесла: самый мощный МРТ в мире показал мозг в сверхразрешении

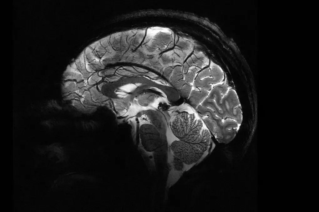
Представьте, что вы можете разглядеть мозг с такой детализацией, будто изучаете карту города с высоты птичьего полёта. Это стало реальностью. Самый мощный в мире МРТ-сканер, Iseult, наконец-то заглянул в человеческий мозг. Полученные изображения — не просто красивые картинки. Это окно в будущее нейронауки, где мы сможем расшифровать тайны сознания и найти ключи к лечению болезней Альцгеймера и Паркинсона.
Это уникальный аппарат!

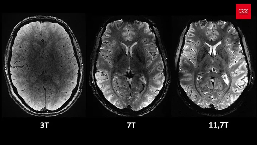
Созданный французскими учёными из комиссии CEA, этот титан генерирует магнитное поле невиданной силы — целых 11,7 Тесла. Для сравнения: обычный больничный томограф тянет на 1,5 или максимум 3 Тл. Чувствуете разницу? Это как сравнивать ручей с океанским течением.

Что это даёт? Фантастическую чёткость и скорость. Всего за четыре минуты Iseult делает снимки с разрешением до 0,2 мм по горизонтали, срезая слои толщиной в 1 миллиметр. На таком «срезе» умещаются тысячи нейронов одновременно. Удивительно, сколько информации можно собрать за время, пока вы завариваете чай, не правда ли?

11.7 Тесла: самый мощный МРТ в мире показал мозг в сверхразрешении

От тыквы к человеку: долгий путь к первому скану

Сначала были тыквы. Да-да, несколько лет назад гигант тестировали на овощах. Но теперь его «пациентами» стали 20 здоровых добровольцев. Результат? Снимки, от которых захватывает дух. Они открывают нам детали, которые раньше были скрыты: как мозг кодирует мысли, какие нейронные «подписи» соответствуют самому феномену сознания. Мы стоим на пороге величайшей загадки — и у нас появился инструмент, чтобы её разгадать.

11.7 Тесла: самый мощный МРТ в мире показал мозг в сверхразрешении

Но Iseult — не просто философский инструмент. Его практическая миссия — борьба с нейродегенеративными заболеваниями. Он способен улавливать слабые химические сигналы, невидимые для обычных томографов: концентрацию глюкозы, глутамата, лития. Нарушения в их балансе — ранние признаки глиом, Альцгеймера или Паркинсона. Теперь мы можем их увидеть. А значит, и остановить болезнь на подступе.

За такие возможности приходится платить. В прямом и переносном смысле. Аппарат колоссален: 5 метров в длину и ширину, 132 тонны веса. Для его работы требуется 182 километра сверхпроводящих проводов и 7500 литров жидкого гелия, чтобы охладить магниты до температуры, близкой к абсолютному нулю (-271,35°C). Такая махина явно не поместится в каждой клинике. Но разве это важно, если она открывает новую эру в диагностике? Думаю, скоро подобные установки появятся в ведущих научных центрах мира.

Посмотреть на работу МРТ можно в видео:

Теги