IMG-LOGO
image

12 янв. 2026

Просмотров: 136

Как туберкулёз обманывает иммунитет, превращая защитные клетки в свой дом

Туберкулёз — древний и коварный враг. Мы живём с ним бок о бок тысячелетия, но до сих пор не можем объявить окончательную победу. В чём секрет его живучести? Учёные нащупали ахиллесову пяту нашей иммунной защиты, которую мастерски использует эта бактерия.
Цифра, от которой холодно: каждый год туберкулёз уносит около полутора миллионов жизней. Это не история из прошлого, а жестокая современная реальность.

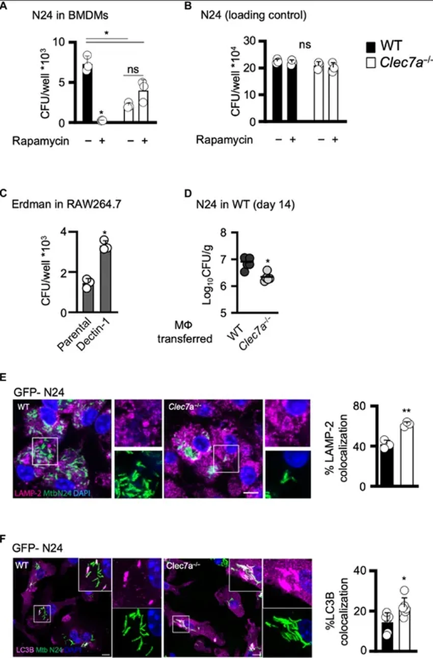
Исследователи из Университета Эксетера совершили важное открытие. Оказалось, возбудитель туберкулёза, палочка Коха, не просто прячется от нашего иммунитета. Она находит в нём тонкую уязвимость и буквально заставляет клетки-защитники работать на себя. Результаты работы, способные перевернуть подход к лечению, были опубликованы в авторитетном журнале Science Immunology.

Иллюзия безопасности: как бактерия обманывает наш иммунитет

Всё начинается в лёгких. С воздухом мы вдыхаем бактерию Mycobacterium tuberculosis. На страже стоят макрофаги — наши клетки-«пожиратели», готовые уничтожить любого чужака. На их поверхности есть специальные сенсоры, рецепторы. Один из ключевых — Дектин-1. Он отлично настроен на распознавание грибков, но, как выяснилось, это его слабость.

Долгое время считалось, что туберкулёзная палочка просто маскируется. В реальности всё хитрее: она ведёт активные «переговоры» с иммунитетом. Бактерия производит особую молекулу — альфа-глюкан, которая как отмычка подходит к рецептору Дектин-1. Звучит как начало атаки, верно? Но это ловушка.

Как туберкулёз обманывает иммунитет, превращая защитные клетки в свой дом

Вместо того чтобы поднять тревогу, этот сигнал дезориентирует макрофаг. Бактерия перехватывает управление и приказывает клетке не уничтожать её, а создать внутри уютный «номер» для проживания и размножения. Иммунная клетка, обманутая, сама становится домом для врага. Поистине, изощрённая тактика захвата изнутри.

Прорыв в лаборатории: что происходит, когда ломают отмычку

Чтобы доказать свою гипотезу, учёные решили сломать механизм обмана. В лабораторных условиях они заблокировали путь, связанный с Дектином-1, в человеческих макрофагах. Результат оказался впечатляющим: клетки внезапно обрели способность эффективно контролировать и подавлять туберкулёзную инфекцию. Без «отмычки» бактерия оказалась беззащитна.

Эксперимент повторили на мышах, у которых генетически отсутствовал рецептор Дектин-1. Эти грызуны продемонстрировали значительно более высокую устойчивость к заражению. Их иммунитет не удавалось обмануть.

«Это открытие — первый, но критически важный шаг, — прокомментировала профессор Гордон Браун из Центра медицинской микологии MRC Университета Эксетера. — Оно открывает захватывающие перспективы. Например, теоретически можно сделать крупный рогатый скот более устойчивым к инфекции, удалив этот рецептор». Звучит как сюжет для научной фантастики, но работа уже началась. Неужели мы наконец нашли слабое место у древнего противника?