IMG-LOGO
image

30 июн. 2024

Просмотров: 104

Новый редактор генов остановил смертельные болезни мозга у мышей

Знаете, что самое изящное в борьбе с болезнями? Порой не нужно ломать дверь, чтобы её закрыть. Учёные из Пенсильвании доказали это на практике. Они взяли молекулярный инструмент, который не меняет гены, а просто... просит их помолчать. И этим молчанием остановили смертельно опасные прионные болезни. Звучит как фантастика, но это уже работает. Пока, правда, только у мышей.
Многие нейродегенеративные болезни — Альцгеймера, Паркинсона — это, по сути, трагедия на молекулярном уровне. Гены сбиваются с ритма и начинают штамповать белки с фатальными ошибками. Эти белки-уродцы засоряют и убивают нейроны. Но что, если просто остановить этот бракованный конвейер, не трогая сам чертёж — ДНК? Природа знает этот трюк и использует его постоянно — через процесс метилирования. Исследователи просто направили этот природный механизм точно в цель: заставили гены, производящие смертельные прионы, замолчать. Просто и гениально.

А теперь давайте познакомимся с героем дня. Пенсильванские учёные представили молекулярный инструмент под скромным именем CHARM. В отличие от своего знаменитого «коллеги» CRISPR/Cas9, который работает как молекулярные ножницы, вырезая куски ДНК, CHARM — это больше дипломат, чем солдат. Он не режет, а вешает на нужные гены химические «ярлыки» — метильные группы. Эти метки — сигнал «тише, пожалуйста», который снижает активность гена. В эксперименте CHARM успешно угомонил ген, производящий прионные белки в нейронах мозга мышей.

«CHARM — это наш первый, но уверенный шаг к созданию безопасного способа подавлять производство болезнетворных белков», — делится энтузиазмом Мэделин Уиттакер, биоинженер из команды разработчиков. Результаты этого прорыва уже опубликованы в авторитетном журнале Science. Похоже, мы стоим на пороге новой эры в терапии.

Молчание — золото: как обезвредить прионы

Новый редактор генов остановил смертельные болезни мозга у мышей

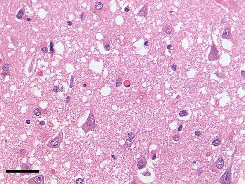
Прионные болезни — это кошмар наяву. Они возникают, когда безобидный белок PrP вдруг принимает неправильную форму, слипается в комки и методично разрушает нервные клетки. Представьте себе редкое заболевание — фатальную семейную бессонницу, которое лишает человека сна и неумолимо ведёт к гибели. Всё это — дело «рук» прионов.

В 2021 году группа учёных во главе с биохимиком Джонатаном Вайсманом создала инструмент CRISPRoff, который умел навешивать те самые «молчащие» метки на ДНК. Но тут же возникла проблема доставки: конструкция оказалась слишком громоздкой, чтобы поместиться в аденоассоциированный вирус (AAV) — наш главный «курьер» для генной терапии. Получился прекрасный инструмент без возможности доставить его в нужное место — в клетки мозга. Знакомая ситуация, не правда ли?

CHARM: маленький, да удаленький

Новый редактор генов остановил смертельные болезни мозга у мышей

И вот решение! Вайсман с коллегами создали CHARM. Его секретное оружие — «белки цинковых пальцев», которые выступают в роли сверхточного навигатора, ведущего инструмент к нужному гену. И что критически важно — вся эта система достаточно миниатюрна, чтобы упаковаться в вирусный вектор AAV и отправиться в путь.

Но и это ещё не всё. Гениальность CHARM в его минимализме. Он не тащит в клетку кучу чужеродного оборудования. Вместо этого он активирует уже существующие в клетке ферменты — ДНК-метилтрансферазы. По сути, он лишь даёт команду собственным клеточным механизмам: «Работайте здесь». «Это резко снижает токсичность, — объясняет Вайсман. — Мы почти ничего нового в клетку не вносим. Мы просто меняем её способность производить прионный белок». Элегантно, как всё гениальное.

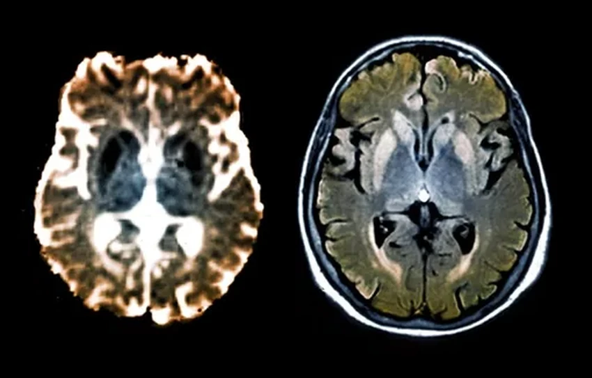
Когда CHARM доставили в мозг мышей, результат превзошёл ожидания: производство рокового белка PrP упало более чем на 80% по всему мозгу. Это намного выше минимального порога, необходимого для терапевтического эффекта! А после выполнения миссии CHARM, словно агент-невидимка, самоуничтожается, не оставляя следов в клетке. Идеальный инструмент.

Перспективы? Огромные. Вайсман уверен, что CHARM можно адаптировать для борьбы с другими белковыми «засорениями» — при болезни Паркинсона и Альцгеймера. «Мы знаем, что эпигенетическое "заглушение" работает для большинства генов», — говорит он. Похоже, мы научились не ломать систему, а просто нажимать правильные кнопки. И это меняет всё.