IMG-LOGO
image

19 мая 2024

Просмотров: 79

Прорыв в нейробиологии: ткань мозга успешно разморозили после 18 месяцев

Китайские учёные совершили то, что ещё недавно казалось фантастикой: они научились замораживать и размораживать мозговую ткань так, чтобы она оставалась живой и невредимой. Это открытие способно перевернуть всю нейробиологию, подарив исследователям бесценный ресурс — время.
Медики постоянно берут образцы мозга для анализов, но изучать их нужно практически мгновенно — ткани быстро гибнут. Теперь, похоже, эту проблему удалось решить раз и навсегда.

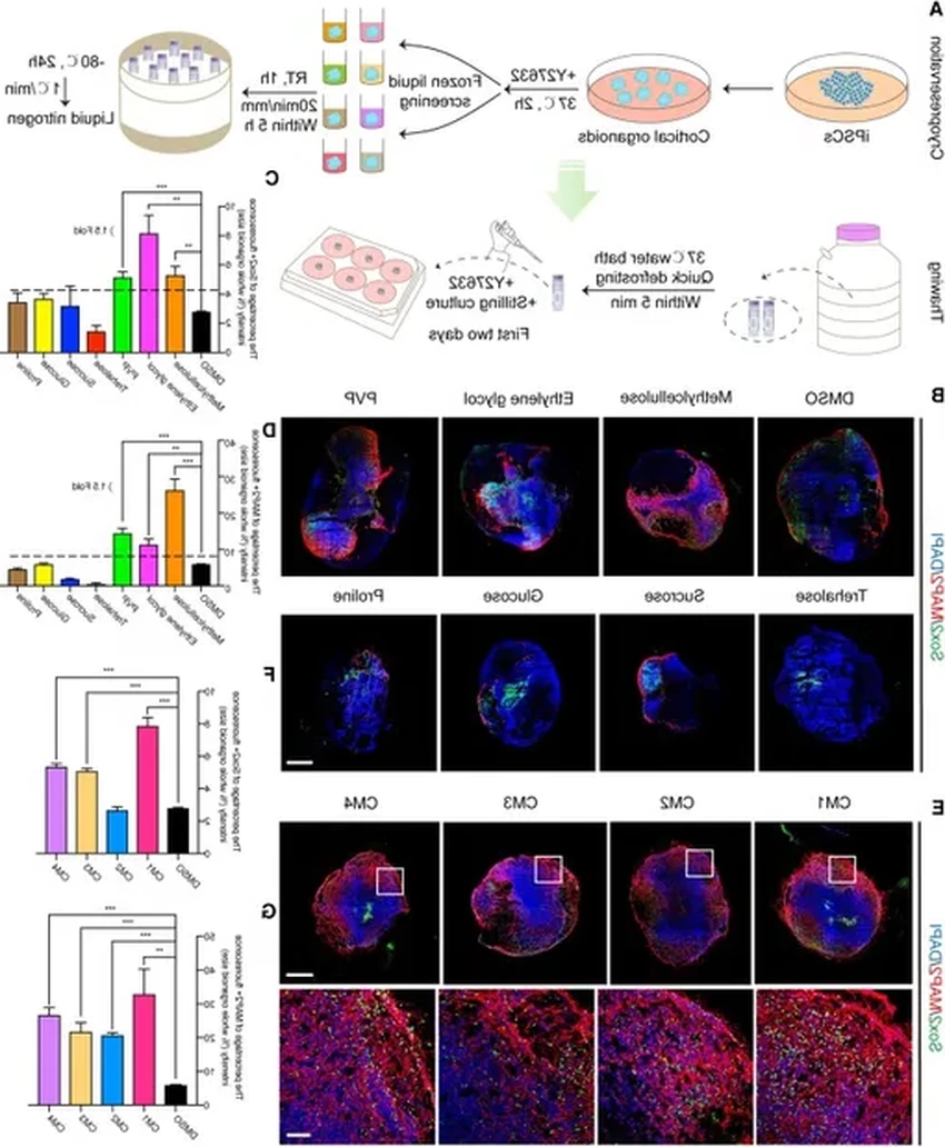
Команда из Национального детского медицинского центра Фуданьского университета представила метод криоконсервации, который бережно сохраняет сложнейшую структуру мозга. Их работа, опубликованная в Cell Reports Methods, — это не просто технический трюк, а ключ к будущим открытиям.

До сих пор заморозка была смертельным приговором для нейронных тканей. Не важно, как быстро ты охлаждаешь образец — лёд неминуемо рвёт хрупкие клеточные мембраны, превращая ценнейший материал в бесполезную кашу. Из-за этого учёные были в постоянной гонке со временем: получил образец — беги в лабораторию, пока не распался. Китайские исследователи нашли элегантный выход: они решили не бороться с физикой, а подготовить к ней саму ткань.

Секретный коктейль MEDY: защита для мозга

Прорыв в нейробиологии: ткань мозга успешно разморозили после 18 месяцев

Как им это удалось? Методом проб и ошибок. Они взяли органоиды мозга — миниатюрные копии, выращенные из стволовых клеток, — и начали купать их в разных химических коктейлях перед погружением в жидкий азот. После многих экспериментов родился идеальный рецепт, смесь под названием MEDY (от основных компонентов — метилцеллюлозы, этиленгликоля и других соединений).

Этот раствор работает как умный антифриз. Он проникает в клетки и меняет свойства ткани, не давая образовываться тем острым кристаллам льда, которые всё разрушают. Учёные проверяли технологию вдоль и поперёк: меняли возраст органоидов, время вымачивания, сроки заморозки. И что вы думаете? После разморозки — даже спустя 150 дней — крошечные «мозги» спокойно возобновляли рост и развитие, как ни в чём не бывало.

Разница между замороженными и обычными образцами оказалась минимальной. Абсолютно поразительно, но ткань сохраняла жизнеспособность даже после 18 месяцев в ледяном плену! Представьте, целых полтора года в глубокой заморозке, а затем — снова к жизни. Фантастика, ставшая реальностью.

Но главный тест был впереди. Учёные применили свою методику на реальном образце ткани, взятом у пациента. И — о чудо! — технология сработала безупречно. Это доказывает, что метод пригоден не только для искусственно выращенных моделей, но и для настоящего человеческого мозга.

Теперь у нейробиологов появился мощный инструмент. Можно будет создавать целые банки образцов, сравнивать их, проводить долгосрочные исследования. Открываются колоссальные перспективы для изучения болезней Альцгеймера, Паркинсона, травм и нарушений развития. Наконец-то у науки появится достаточно времени, чтобы разгадать самые сложные загадки нашего сознания. А ведь это только начало, правда?